All-on-X Dental Implants
All-on-X Dental Implants
All-on-X dental implants are a full-arch restoration option for people missing most or all of their teeth. The procedure involves placing a few dental implants into the jawbone, which serve as a stable foundation for a fixed prosthetic that resembles a complete set of upper or lower teeth. This treatment is an excellent choice for patients who need a complete smile makeover and want to take advantage of the benefits that dental implants have to offer. Contact us today to learn more!
Key Benefits of All-on-X Dental Implants:
Who Is a Candidate for All-on-X Dental Implants?
Wondering if this could be a solution for you? All-on-X dental implants are ideal for individuals who:
Suitable for those missing most or all teeth in an arch.
Patients with compromised teeth may benefit.
A great option for those seeking an alternative to traditional dentures.
Even with some bone loss, many can still qualify without bone grafting.
Perfect for those looking for a durable, long-term tooth replacement.
Schedule Your Consultation!
*All-on-X dental implants are offered at our Asheville, Cary, Fuquay-Varina, Wilmington – The Pointe, Southern Pines, and Spring Lake locations.
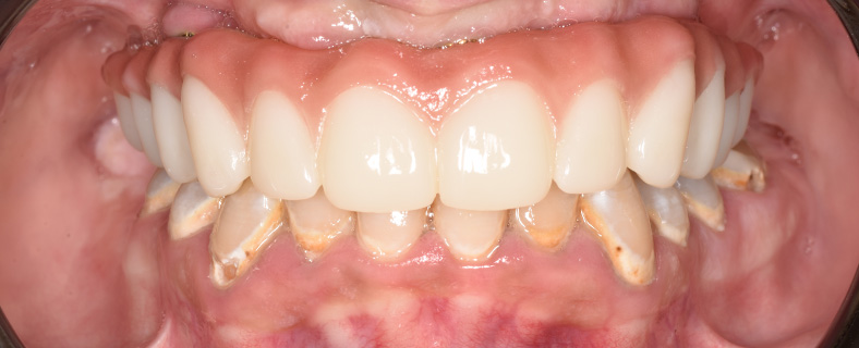
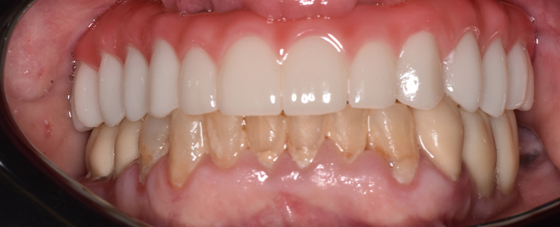
Before & After Transformations
See the incredible results achieved by our patients!
Frequently Asked Questions
What is a full arch dental prosthetic?
A full arch dental prosthetic, also known as an All-on-X dental implant restoration, is a life-changing solution for patients who need to replace all their teeth in the upper or lower jaw. Using a small number of strategically placed dental implants, we can anchor a full, natural-looking arch of teeth that feels secure, comfortable, and strong—just like your own.
Am I a good candidate for All-on-X dental implants?
You may be an excellent candidate for All-on-X dental implants if you are missing most or all of your teeth, struggle with loose or uncomfortable dentures, or have ongoing dental issues that make it difficult to eat or smile. Even if you’ve been told you have bone loss, our team offers advanced techniques to help many patients still qualify for treatment.
How are full arch dental implants different from dentures?
Unlike removable dentures, full arch dental implants are permanently fixed in place. That means no slipping, clicking, or messy adhesives. Your new teeth will look, feel, and function just like natural teeth, giving you the freedom to enjoy your favorite foods and speak clearly. Patients love that full arch implants provide greater stability, comfort, and confidence compared to traditional dentures.
What does the All-on-X treatment process involve?
The All-on-X process is carefully designed to deliver a new smile as smoothly as possible. It typically includes:
- A detailed consultation and 3D scan
- Implant placement surgery (with sedation)
- An interim set of teeth on the same day
- Healing time (typically 3–6 months)
- Your final, custom-made smile
Our team at CarolinasDentist will guide you every step of the way and tailor your treatment to your comfort, timeline, and goals.
Will getting dental implants hurt?
Most patients are surprised at how little discomfort they feel. We use gentle techniques, and sedation is available for a stress-free experience. You may experience mild soreness or swelling afterward, but it’s typically manageable with over-the-counter medication. Our team will provide clear aftercare instructions to help you heal quickly and comfortably.
How long does the All-on-X process take?
In many cases, your dental implants can be placed in just one visit, and you’ll leave with a beautiful new temporary smile the same day. The healing process usually takes three to six months, allowing the implants to fully integrate with your jawbone. Once healing is complete, we’ll replace your temporary teeth with your final, custom-made prosthetic designed for a perfect fit and natural look.
What do All-on-X dental implants cost?
We understand that cost is a big consideration. The cost of All-on-X dental implants can vary based on your unique needs and treatment plan. While it is a larger upfront investment, it provides lasting results that improve your health, confidence, and quality of life. Our team at CarolinasDentist offers flexible financing options and will help you understand your insurance coverage and payment options.
Will I have teeth right after surgery?
Yes! In most cases, you’ll receive a secure temporary set of teeth on the same day as your implant placement. This means you’ll leave your appointment with a complete smile you can wear confidently while your implants heal beneath the surface.
How long will my implants last?
With proper care, dental implants are designed to last a lifetime. The titanium implant fuses with your jawbone, creating a durable foundation for your prosthetic teeth. The implant itself can last many years and is designed for long-term durability. We’ll teach you how to care for them so you can enjoy your new smile for decades.
How do I care for my new full arch dental implants?
Caring for your full arch dental implants is simple and similar to caring for natural teeth:
- Brush twice a day using a soft-bristled toothbrush
- Clean around your implants with floss or specialized tools
- Visit us regularly for checkups and cleanings
Our team will teach you the best techniques for at-home care so your implants stay in excellent condition.
Are there any risks involved with All-on-X dental implants?
As with any surgical procedure, there are minimal risks such as infection or implant failure, but these are very rare. Our experienced dental team uses advanced technology and proven techniques to ensure a safe and successful outcome. You’re in expert hands, and we’ll be with you every step of the way.
Will dental insurance cover All-on-X implants?
Some dental insurance plans may cover portions of your treatment, such as extractions, imaging, or temporary restorations. Coverage varies by provider, but our team will help you review your benefits and explore all available payment options. We also offer flexible financing to make this life-changing treatment accessible to more patients.
What materials are used for the implants and teeth?
The dental implants themselves are made of high-quality titanium, a strong and biocompatible material that integrates safely with the jawbone. The interim prosthetic is made from durable zirconia, and your final teeth are custom-crafted to match your smile goals for a natural, long-lasting result.
Can I eat normally again after getting full arch implants?
Absolutely! After healing, you’ll enjoy eating all your favorite foods again, from crunchy apples to juicy steak. During the initial healing period, we recommend sticking to a soft diet to protect your implants as they integrate with your jawbone. After that, you can look forward to biting, chewing, and smiling with complete confidence.
Can both arches be restored at the same time?
Yes, many patients choose to restore both their upper and lower arches during the same procedure for a complete smile transformation. This approach can save time and help you achieve a balanced, natural-looking result. During your consultation, we’ll discuss your goals and determine whether treating both arches at once is the best option for you.
















